Colecistectomía laparoscópica y cirugía de hernias en Nordelta.
Ecografías a domicilio en
Zona Norte.
Dr. Carlos R. Colombres (MAAC - FACS)
Dr. Carlos R. Colombres
Cirujano (MAAC - FACS)
Miembro Titular Asociación Argentina de Cirugía. (MAAC)
Fellow American College of Surgeons.(FACS)
Miembro Asociado Academia Argentina de Cirugía.
Formación Especializada en Ecografía y Ultrasonografía (SAEU - AMA).
Jefe de guardia Hospital Bocalandro
Jefe sección cirugía Percutánea Sanatorio Franchin.
Cirugía Percutánea en Hospital Español de Buenos Aires
Ecografía intervenciónista en Instituto Médico de Alta Complejidad IMAC
Médico cirujano con
más de 20 años de experiencia dedicada a la excelencia en el tratamiento de patologías biliares y de la pared abdominal. Especialista en Colecistectomía Laparoscópica y Cirugía de Hernias, realizo abordajes quirúrgicos mínimamente invasivos, priorizando una recuperación eficaz y confortable para sus pacientes.
Realizo punciones biopsia de patología mamaria bajo guía Ecográfica.
Punciones con aguja fina (PAAF) de nódulos en la tiroides.
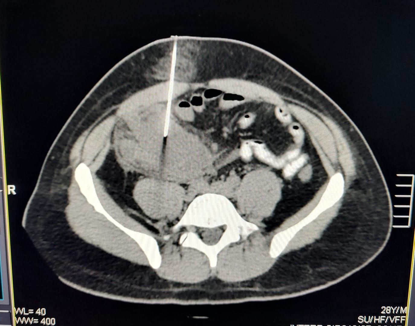
Punciones biopsia bajo TAC de lesiones pulmonares y de partes blandas.
Drenaje Percutáneo de colecciónes en Tórax Abdomen y Pelvis.
Punciones biopsia de Hígado - Punciones biopsia de Riñón.
Nefrostomia percutánea con abordaje combinado (eco+Rx).
Realizo ecografía diagnostica de mama, tiroide, abdominal, reno-vesico-prostatica.
Ecografías a domicilio privadas.
"Ecografías a Domicilio en Zona Norte - poseo equipo SMV wi-fi
dos cabezales convex y lineal de última generación"
Compromiso y precisión en procedimientos diagnósticos para tu bienestar
Mi expertise se extiende a procedimientos percutáneos guiados por imagen, incluyendo biopsias dirigidas por ecografía y tomografía de diversos órganos y tejidos (tiroides, mama, hígado, riñón, pulmón, partes blandas). Esta habilidad diagnóstica avanzada permite una evaluación precisa y oportuna.
Con una profunda vocación por la medicina, me distingo por mi compromiso inquebrantable con el bienestar de mis pacientes. Mi enfoque se centra en brindar una
atención integral y personalizada,
donde la dedicación y la empatía son pilares fundamentales. La satisfacción y recuperación de cada paciente son mi máxima prioridad y la mayor recompensa a mi labor.









